인기 키워드 순위

    메디게이트 뉴스

    필립스, 업그레이드된 초음파 기능으로 신속·정밀 진단과 워크플로우 개선 지원

    기사입력시간 2025-09-22 09:47
    최종업데이트 2025-09-22 09:47


    헬스 테크놀로지 기업 필립스코리아는 한층 기능이 강화된 초음파 제품 포트폴리오를 공개했다고 18일 밝혔다. 이번 업그레이드는 범용부터 고사양장비까지 적용되어 다양한 임상 영역에서 활용성을 높이고 의료진의 워크플로우를 지원하는 다양한 기능을 제공한다.

    최근 비만과 당뇨병 등 대사질환이 늘어나면서 간 질환과 심혈관 질환이 동시에 나타나는 환자가 빠르게 증가하고 있다. 실제로 국내 성인 비만율은 2022년 기준 37.2% 수준으로 상승세를 이어가고 있으며 지방간 유병률은 성인 인구의 20~30%에 이른다. 이와 함께 19세 이상 성인의 고혈압 유병률은 약 22%, 당뇨병은 약 10%에 달해 심뇌혈관질환 위험도 커지고 있다.

    지방간은 간암으로, 고혈압과 고지혈증은 심근경색과 뇌졸중으로 이어질 수 있어 조기 진단의 필요성이 갈수록 커지고 있다. 이러한 배경 속에서 MR, CT, X-ray 등 다양한 영상진단 장비가 활용되고 있으며 특히 방사선 노출 위험이 없어 반복 검사가 가능한 초음파는 간과 심장을 포함한 주요 장기 진단에 적합한 대안 중 하나로 주목받고 있다. 더 나아가 최근에는 AI 기반 자동화 기술이 접목되면서 초음파 검사의 재현성과 효율성이 크게 향상되고 있다.

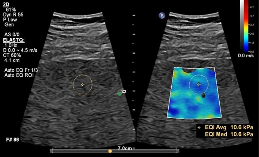
    이러한 상황에서 필립스는 한층 기능이 강화된 초음파 제품 포트폴리오를 공개했다. 이번 업그레이드를 통해 간섬유화 검사 자동화 기능 ‘오토 엘라스트큐(Auto ElastQ)’와 고주파 프로브 ‘mL26-8’의 호환성을 범용 장비인 어피니티(Affiniti 50, 70) 라인업부터 고사양 장비인 에픽 엘리트(EPIQ Elite)까지 폭넓게 제공한다. 또한 심장 및 간 질환 진단 등 다양한 임상 분야에서 활용 가능한 워크플로우 개선 기능도 탑재했다.

    필립스 관계자는 "새로운 초음파 제품 포트폴리오는 이달 열리는 대한영상의학회 학술대회(KCR 2025) 전시 부스(Hall B, G-92)와 부산국제의료기기전시회 부스(G209)에서 처음 공개된다"며 "전시장에서는 다양한 초음파 장비가 전시되며 ‘오토엘라스트큐’ 기능을 직접 체험해 볼 수 있는 핸즈온(Hands-on) 프로그램도 운영할 예정"이라고 밝혔다.